Dental School
Free dental lecture note, restorative dentistry, prosthodontics, pdf,ppt and implantilogy
Monday, October 10, 2011
Rosai-Dorfman disease (RDD)/ sinus histiocytosis with massive lymphadenopathy
Rosai-Dorfman disease (RDD)/ sinus histiocytosis with massive lymphadenopathy
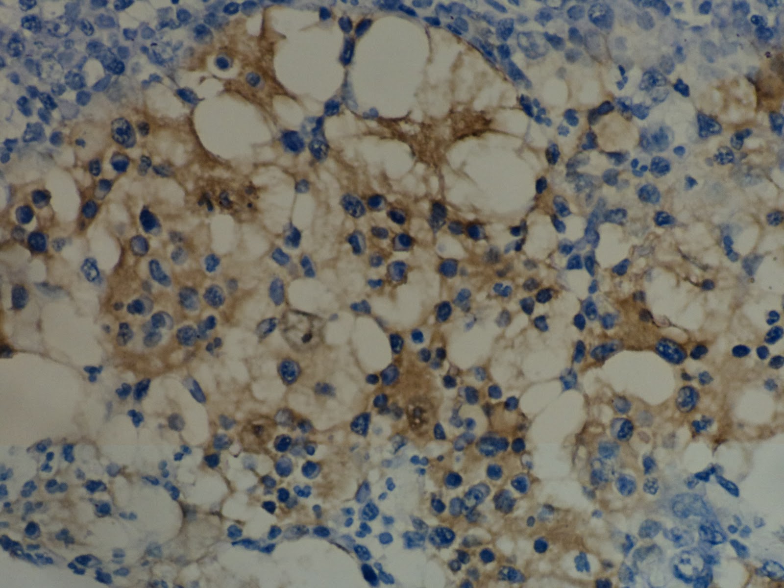
Rosai- Dorfman disease/ Sinus hitiocytosis with massive lymphadenopathy - histopathilogy s-100
Rosai-Dorfman disease (RDD)/ sinus histiocytosis with massive lymphadenopathy
No comments:
Post a Comment
Newer Post
Home
Subscribe to:
Post Comments (Atom)
No comments:
Post a Comment